Nierenzysten

Als Nierenzysten werden Flüssigkeitsgefüllte, abgekapselte Hohlräume in den Nieren bezeichnet. Diese können einzeln oder mehrfach in den Nieren vorkommen. Sie können sich am Rand der Niere (Cortexzysten) oder mitten im Nierengewebe (parapelvine Zysten) entwickeln. Zystenbildung in der Niere kann vererbt werden. In diesen Fällen führt die starke und massive Zystenbildung zur Nierenschädigung.

Diagnostik und Behandlung umfassen körperliche Untersuchung, eine Blut- und eine Urinuntersuchung sowie ein Ultraschall. Ist der Ultraschall-Befund nicht eindeutig, werden einen Computertomografie (CT) oder ein Magnetresonanztomograf (MRT). Nach diesen Untersuchungen kann besser bestimmt werden, um was für Nierenzysten es sich handelt. Nierenzysten werden meistens als Zufallsbefund im Rahmen der Ultraschalluntersuchung entdeckt, selten aufgrund Beschwerden. Die Abklärung umfasst neben dem Ultraschall oft auch eine Bildgebung mit Computertomografie (CT) oder Magnetresonanztomografie (MRT). Zysten der Niere sollten kontrolliert werden, denn hinter einer Nierenzyste kann sich auch ein Nierenkrebs «verstecken». Nierenzysten sind sehr häufig und weit verbreitet. Die Häufigkeit mindestens einer Nierenzyste im Alter von 50-70 beträgt 11%, ab 70.Lebensjahr 22,1 %.

Nierenzysten müssen selten behandelt und selten operiert werden. Verursachen die Nierenzysten Beschwerden, gefährden Sie den Harnabfluss oder sind sie infiziert, muss man die Nierenzyste entfernen bzw. operieren.

Besteht der dringende Verdacht, dass sich hinter der Nierenzyste Nierenkrebs versteckt, dann wird die Nierenzyste mitsamt dem anhaftenden Nierengewebe entfernt. Nierenzysten, die sich auffällig zeigen, aber noch nicht dringend verdächtig auf Nierenkrebs sind, werden engmaschig mit Ultraschall, Computertomografie oder Magnetresonanztomografie überwacht.

Nierenzysten sind Flüssigkeitsgefüllte, abgekapselte Hohlräume in den Nieren.
Diese Zysten können einzeln oder mehrfach in den Nieren vorkommen.
Sie können sich am Rand der Niere (Cortexzysten) oder mitten im Nierengewebe (parapelvine Zysten) entwickeln.
Zystenbildung in der Niere kann vererbt werden.

Die meisten Zysten sind harmlos und verursachen keine Beschwerden oder Probleme.
Wachsen die Zysten aber stark an und vergrössern sich massiv, kann das zu Druck- oder Flankenschmerzen führen oder bei ungünstiger Lage auch zu Abflussstörungen des Harns aus der Niere führen.
Sehr starke Zystenbildung kann zur Zerstörung der Nieren führen.
Selten können Zysten einbluten oder sich infizieren

Zysten der Niere sollten kontrolliert werden, denn hinter einer Nierenzyste kann sich auch ein Nierenkrebs «verstecken».

Nierenzysten werden meistens als Zufallsbefund im Rahmen der Ultraschalluntersuchung entdeckt.
Die Abklärung umfasst neben dem Ultraschall oft auch eine Bildgebung mit Computertomografie (CT) oder Magnetresonanztomografie (MRT).

Nierenzysten sind sehr häufig und weit verbreitet. Die Häufigkeit mindestens einer Nierenzyste im Alter von 50-70 beträgt 11%, ab 70.Lebensjahr 22,1 %.

Nierenzysten müssen selten behandelt und selten operiert werden.
Verursachen die Nierenzysten Beschwerden, gefährden Sie den Harnabfluss oder sind sie infiziert, muss man die Nierenzyste entfernen bzw. operieren.
Besteht der dringende Verdacht, dass sich hinter der Nierenzyste Nierenkrebs versteckt, dann wird die Nierenzyste mitsamt dem anhaftenden Nierengewebe entfernt.
Nierenzysten, die sich auffällig zeigen, aber noch nicht dringend verdächtig auf Nierenkrebs sind, werden engmaschig mit Ultraschall, Computertomografie oder Magnetresonanztomografie überwacht.

Ursachen

Die Ursache für die Bildung von Nierenzysten ist unklar. Nur bei den sogenannten vererbten Nierenzystenerkrankung findet sich die Ursache in Veränderungen im Erbgut.

Häufigkeit

Nierenzysten sind sehr häufig und nimmt mit dem Alter zu. Die Häufigkeit mindestens einer Nierenzyste im Alter von 50-70 beträgt 11%, ab 70.Lebensjahr 22,1 %.

Symptome

Die meisten Nierenzysten bleiben unbemerkt, denn sie machen in der Regel keine Beschwerden. Sehr oft sind sie Zufallsbefund bei Ultraschalluntersuchungen. Selten können Nierenzysten durch Grössenwachstum ein Druckgefühl in der Flanke oder im Bauch auslösen. Bei ungünstiger Lage und Grössenwachstum können Nierenzysten auch eine Behinderung des Harnabfluss auslösen. Auch Einblutungen und Infektionen der Nierenzysten sind möglich.

Leider können insbesondere bei den erblichen Nierenzystenerkrankungen die Verläufe so schwer sein, dass die Nieren komplett zerstört werden. 

Diagnostik

Neben einer körperlichen Untersuchung, sowie Blut- und Urinprobe werden Nierenzysten zuerst mit dem Ultraschall untersucht und beurteilt. Manchmal muss zusätzlich eine Computertomografie oder Magnetresonanztomografie durchgeführt werden, um entscheiden zu können ob es sich wirklich um eine «harmlose» Nierenzyste handelt.

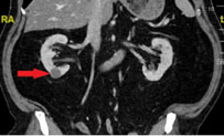
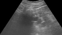
Ultraschallbild einer Nierenzyste Computertomografie einer Nierenzyste

Ultraschallbild einer Nierenzyste

Computertomografie einer Nierenzyste

 

Therapie

Nierenzysten müssen selten behandelt und selten operiert werden.

Nur wenn die Nierenzysten Beschwerden wie Druckgefühl oder Flankenschmerzen machen, muss man sie behandeln. Behindern die Nierenzysten den normalen Abfluss des Harns aus der Niere, ist ebenfalls ein Eingriff oft notwendig.

Einblutungen in die Nierenzyste können schmerzhaft sein, müssen aber fast nie operiert werden. Infizieren sich aber Nierenzysten, dann muss die Nierenzyste anpunktiert und der Eiter abgelassen werden.

Besteht der dringende Verdacht, dass sich hinter der Nierenzyste Nierenkrebs versteckt, dann wird die Nierenzyste mitsamt dem anhaftenden Nierengewebe entfernt. Nierenzysten, die sich auffällig zeigen, aber noch nicht dringend verdächtig auf Nierenkrebs sind, werden engmaschig mit Ultraschall, Computertomografie oder Magnetresonanztomografie überwacht.

Nachsorge

Nierenzysten die sich auffällig in der Ultraschalluntersuchung oder im Computertomografie zeigen, müssen nachkontrolliert werden.

Patienten mit vererbten Nierenzystenerkrankung müssen sowohl von uns als Urologen als auch den Nierenspezialisten (Nephrologen) gemeinsam betreut und nachkontrolliert werden.

Beides geschieht ambulant in unserer urologischen Praxis.