Die Nierenbeckenabgangsenge wird auch als Harnleiterabgangsenge oder – stenose bezeichnet.
Ausgelöst durch Vernarbungen, Entzündungen oder angeboren durch einen besonderen Verlauf der Blutgefässe zur Niere wird der Abgang des Harnleiter aus dem Nierenbecken eingeengt. Folgen sind ein ständiger Rückstau des Harn im Nierenbecken. Das schädigt die Nierenfunktion und kann zu schweren Infektionen und Beschwerden führen.
Oft bleibt die Erkrankung lange unbemerkt und wird durch Zufall entdeckt. Typische Anzeichen für eine Nierenbeckenabgangsenge sind Flankenschmerzen oder ein Druckgefühl über der Nierenregion. Dieses Gefühl nimmt gerne bei grossen Trinkmengen zu. Aber auch Infekte mit Fieber, Abgeschlagenheit und Schüttelfrost können Anzeichen sein.
Diagnostik und Behandlung umfassen körperliche Untersuchung, eine Blut- und eine Urinuntersuchung sowie ein Ultraschall. Anscnhliessen erfolgt eine Funktionsprüfung der Niere (Fachausdruck: Isotopennephrografie). Bestehen akute Beschwerden, wird oftmals zu schnellen Entlastung eine Harnleiterschiene (DJ) eingelegt. Bei unklaren Engstellen erfolgt noch eine Endoskopische Inspektion der Enge: die sogenannte Harnleiterspiegelung (Fachausdruck: Ureteroreonoskopie).
Zeigt sich die Niere noch fit und mit guter Restfunktion und ohne schweren Schaden durch den Harnstau, dann wird durch eine Operation der Harnleiter- bzw. Nierenbeckenabgang rekonstruiert. Wir führen hier Standardmässig die minimalinvasive robotergestützte Nierenbeckenplastik mit dem OP-Robotersystem DaVinci durch.
Ist die Niere zu stark geschädigt, ist eine komplette operative Entfernung der Niere (Fachausdruck: Nephrektomie) empfohlen.
Sind Sie als Patient zu krank für eine derartige Operation, kann auch eine Harnleiterschiene oder Metallspirale (stent) zur Überbrückung der Enge als Dauerableitung eingelegt werden.
Verengungen am Abgang des Harnleiters aus dem Nierenbecken nennt man Nierenbeckenabgangsenge.
Diese Verengungen sind angeboren oder erworben.
Ursache können Vernarbungen und Entzündungen sein.
Aber auch Blutgefässe der Nieren, die untypisch verlaufen (sogenannte «Unterpolarterien») können die Verengung auslösen.
Flankenschmerzen, Fieber, Infektionen können Warnzeichen sein. Typisch ist auch das Auftreten eines Druckgefühls in der Flanke bei Trinken von sehr viel Flüssigkeit («Weissbierkolik»).
Eine Nierenbeckenabgangsenge kann oft lange unerkannt bleiben und wird erst bei Beschwerden (z.B. Infekte) oder als Zufallsbefund im Rahmen Ultraschall der Nieren entdeckt.
Je früher eine Nierenbeckenabgangsenge erkannt wird, umso besser!
Langfristig kann der schlechte Abfluss und Rückstau des Harns aus dem Nierenbecken die Nierenfunktion schwächen und schwere Infektionen begünstigen.
Die Abklärung umfasst neben dem Ultraschall auch eine Funktionsprüfung der Nieren (sogenannte Isotopennephrografie). In unklaren Fällen muss zusätzlich eine Endoskopie des Harntrakt erfolgen, um die Engstelle zu beurteilen.
Eine Nierenbeckenabgangsenge kann auf beiden Seiten auftreten und in jedem Alter diagnostiziert werden.
Ziel ist die Wiederherstellung eines normalen Harnabfluss.
Dies geschieht durch eine Operation. Dabei wird die Engstelle entfernt und der Harnleiter wieder mit dem Nierenbecken vereinigt.
Dafür muss aber die Nieren noch genügend Restfunktion haben und nicht zu stark geschädigt sein.
Stark geschädigte Nieren werden komplett entfernt.
Sind Sie als Patient zu krank für eine solche Operation, kann auch eine Harnleiterschiene oder ein stent eingelegt und als Dauerableitung belassen werden.
Ursache einer Nierenbeckenabgangsenge sind häufig angeborene Blutgefässe der Niere, die sich früh teilen und dadurch den Harnleiter an seinem Abgang aus dem Nierenbecken einengen. Diese Gefässe nennt man Unterpolarterien. Nierenbeckenabgangsengen können aber auch erworben sein durch Vernarbungen, Entzündungen, Steine und viele andere Erkrankungen. Problematisch an dieser Harnabflussstörung ist, dass der gestaute und zurückgehaltene Urin die Nieren in ihrer Funktion behindert und schädigt. Zusätzlich biete der gestaute Urin einen perfekten Nährboden für schwere Infektionen.
Nierenbeckenabgangsengen sind häufig bei Neugeborenen zu finden. Nicht jede Nierenbeckenabgangsenge wird aber Beschwerden auslösen. Das Ausmass der Beschwerden und Schäden ist abhängig von der Schwere der Einengung und dem Ausmass des Harnrückstau. Dies kann sich im Laufe des Lebens ändern, denn mit dem Alter treten zunehmend Probleme beim Wasserlösen und Veränderungen an den Nieren, aber auch Abwehrschwächen auf.
Nierenbeckenabgangsengen bleiben sehr oft lange unbemerkt. Sehr oft sind sie Zufallsbefund bei Ultraschalluntersuchungen. Typische Anzeichen für eine Nierenbeckenentzündung sind dumpfe Flankenschmerzen, Koiken oder auch diffuses Druckgefühl in der Flanke. Dies zeigt sich sehr oft nach dem schnellen und raschen Trinken grosser Flüssigkeitsmengen. Dies nennt man landläufig auch gerne «Weissbierkolik». Typisch sind aber auch allgemeine Infektanzeichen wie Abgeschlagenheit, Fieber, manchmal Schüttelfrost, und Zeichen einer Nierenbecken- und/oder Blasenentzündung mit Brennen und Schmerzen beim Wasserlassen und häufigem Harndrang.
Zur Abklärung einer Nierenbeckenabgangsenge wird nach einer ausführlichen körperlichen Untersuchung und Befragung des Patienten eine Blut- und Urinprobe entnommen.
Bei der Urinprobe wird auch eine sogenannte Urinkultur angelegt. Diese hat die Aufgabe, im Fall eines begleitenden Infektes das Bakterium näher zu bestimmen, welches die Infektion ausgelöst hat. Zusätzlich wird geschaut, welches Antibiotikum am Besten in der Lage ist die Infektion zu bekämpfen.
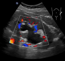
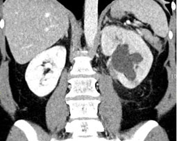
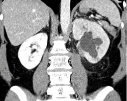
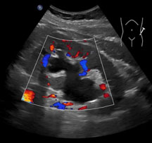
Beim sich anschliessenden Ultraschall der Nieren zeigt sich der Aufstau des Urins in der Niere. Bei unklarem Befund erfolgt noch eine Computertomografie. Mit ihr können weitere Erkrankungen oder sogenannte komplizierende Faktoren (Nierensteine, Eiterhöhlen) ausgeschlossen werden.
![]() |
![]() |
| Ultraschallbild einer Nierenbeckenabgangsenge | Computertomografie der Nierenbeckenabgangsenge |
Im Anschluss erfolgt einen Nierenfunktionsprüfung. Im Fachbegriff heisst diese Isotopennephrografie. Diese bestimmt, wie gut die Niere arbeitet und wie stark der Harn durch die Enge behindert wird aus dem Nierenbecken in den Harnleiter abzufliessen.

Nierenfunktionsprüfung (Fachausdruck: Isotopennephrografie) einer Nierenbeckenabgangsenge links
Bestehen nach diesen Untersuchungen immer noch Unklarheiten, erfolgt eine Endoskopie des Harnleiter. Dabei wird mit einem Miniaturendoskop der Harnleiter und die Enge von Innen betrachtet und untersucht. Dieser Eingriff wird in der Fachsprache als Ureterorenoskopie bezeichnet.
![]() |
![]() |
| Starres Endoskop in der Niere | Starres Endoskop in der Niere |
Bei starken Beschwerden und Infektionen erfolgt zunächst als Sofortmassnahme die Harnableitung. Diese kann Innerlich erfolgen mit Überbrückung der Engstelle durch eine Harnleiterschiene, den sogenannten Doppel-J/ DJ. Sollte die Engstelle so stark eingeengt sein, dass keine Harnleiterschiene diese passieren kann, wird meist von aussen die Niere anpunktiert und ein seitlicher direkter Nierenkatheter (Fachausdruck: Nephrostomie) zur Entlastung eingelegt.
Im Verlauf erfolgt die eigentliche Operation zur Behebung des Problems. Zeigt sich in der Nierenfunktionsprüfung die Niere mit ausreichend Restfunktion, wird die Nierenbeckenabgangsenge operativ behoben mit einer plastischen Rekonstruktion. Diese Operation nennt man Nierenbeckenplastik. Bei dieser Operation wird der verengte Abschnitt des Harnleiter entfernt und das Nierenbecken und der restliche Harnleiter wieder vereinigt. Danach ist wieder ein freier Abfluss des Harn aus der Niere in den Harnleiter möglich.
Wir führen diese Operation minimalinvasiv im sogenannten Schlüsselloch-Verfahren durch unter Anwendung modernster Robotertechnik mit dem DaVinci-System.
In den Fällen, in denen die Niere bereits zu stark geschädigt ist und keine ausreichende Restfunktion hat, empfehlen wir die Entfernung der Niere. Diese Operation wird in der Fachsprache als Nephrektomie bezeichnet. Auch diese Operation führen wir minimalinvasiv im sogenannten Schlüsselloch-Verfahren (Laparoskopie) durch.
Ist der Patient zu schwer erkrankt und nicht fit für eine der oben angeführten Operationen, denn besteht auch die Möglichkeit zur dauerhaften Harnableitung mit einer inneren Harnleiterschiene, dem sogenannten Doppel-J/ DJ. Alternativ möglich ist auch die Einlage eines stent (Metallschlauch) im Harnleiter zur Überbrückung der Enge. Ist die Enge nicht überwindbar, kann auch mit einem seitlichen direkten Nierenkatheter (Fachausdruck: Nephrostomie) der Harnabfluss sichergestellt werden.
In jedem Fall muss nach der Operation der Nierenbeckenabgangsenge eine regelmässige Nachkontrolle erfolgen. Ziel dieser Kontrollen ist es rechtzeitig zu erkennen, wenn die Engstelle erneut auftritt bzw. wiederkommt (Fachausdruck: Rezidiv). Dies geschieht ambulant in unserer urologischen Praxis.